Skip to main content
On Demand
Busqueda Avanzada
Página principal
On Demand
Busqueda Avanzada
Página principal
Martin Charles
Home
On Demand
Martin Charles
Home
On Demand
Volver
Todas
Extremapalooza
Módulo Catarata
Módulo Retina
Replay - 2020
Replay - 2021
Retina Extrema
LA COCINA DE RETINA 1
CIRUGÍAS EXTREMAS DE RETINA
LA COCINA DE RETINA 2
NOTIEXTREMO 4
CIRUGÍAS EXTREMAS DE RETINA
Manejo de fluidos ::: Parte 2
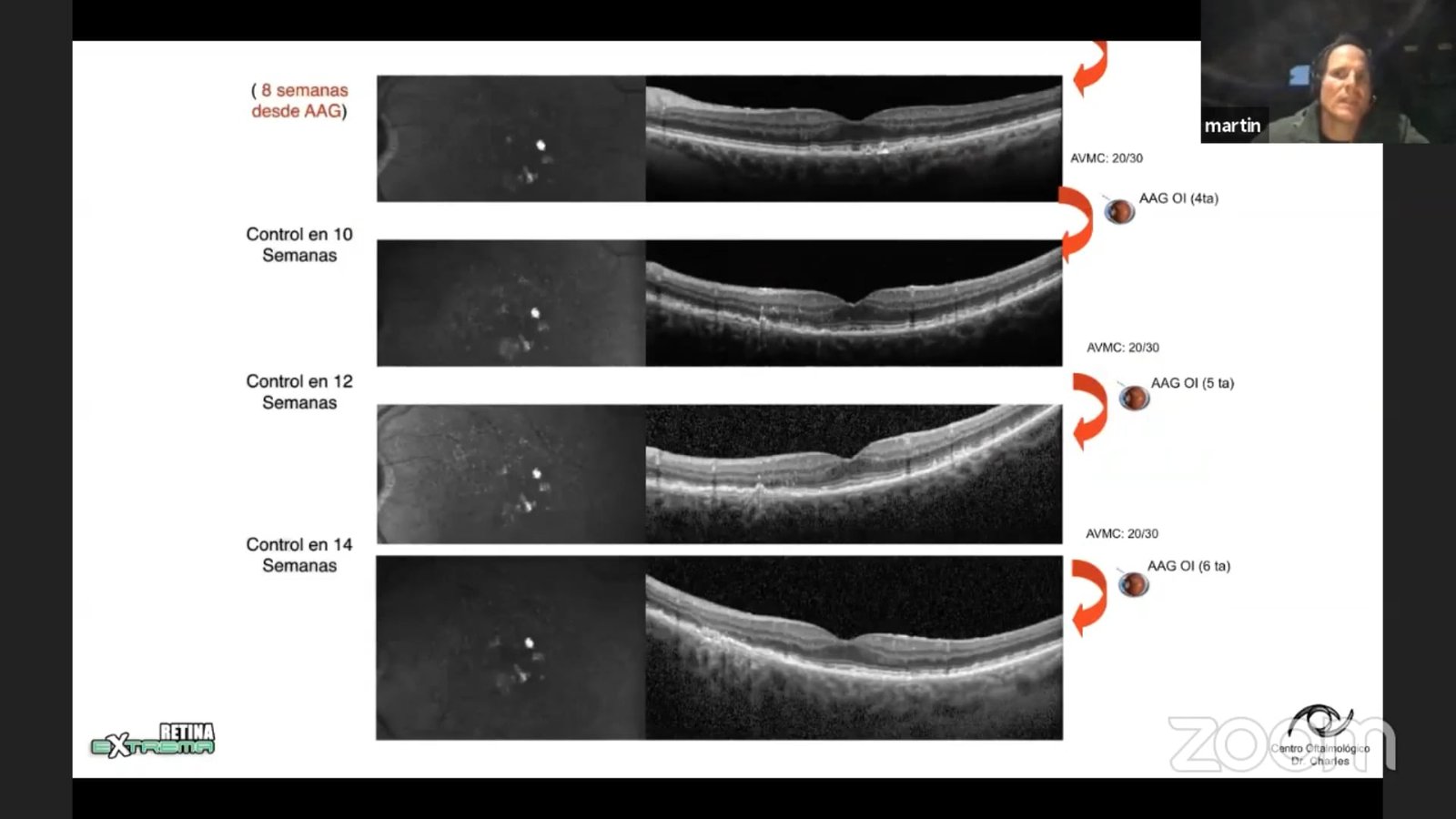
Manejo de pacientes con maculopatía húmeda bajo el regimen TREAT AND EXTEND y l…
Manejo de fluidos ::: Parte 4
Debate entre expertos: Dr. Martin Charles, Dr. Patricio Schottmann, Dr. Pablo F…
A todo motor: 20 mil cortes... una nueva herramienta para la lensectomia?
Intratables de la Retina 1
Una discusión sobre la actualidad del manejo de la patología retinal
Intratables de la Retina 2
Una discusión sobre la actualidad del manejo de la patología retinal
Back to the Future Parte 3
Refrito
Retina Extrema Cirugías en vivo
Primera sesión de cirugías en vivo
Retina Extrema
Cirugías en vivo
The First Dance - Capítulo 2
Sigue el entrenamiento de Michael, no te pierdas sus avances, complicaciones y…
The First Dance - Capítulo 1
Michael deja el basquet para ser cirujano vitreo retinal, revea este éxito de t…
Catarata mas vitrectomía
Treat and Extend
Vitrectomia en la PVR